كشفت دراسة أن النزيف في الدماغ يضاعف خطر الإصابة بالخرف مع التقدم في العمر، حتى وإن كانت السكتات الدماغية بسبب الجلطات مرتبطة مسبقًا بالتدهور المعرفي.
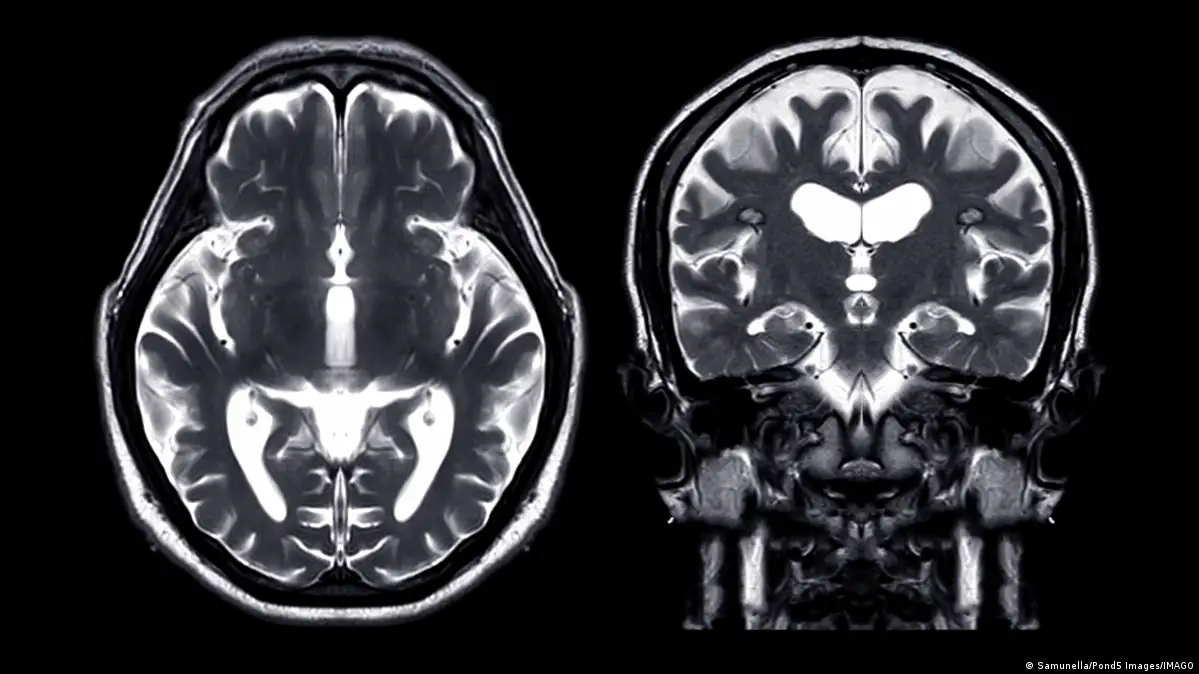
حدوث نزيف في الدماغ، حيث يُحتمل أن يكون النزيف قد ساهم في الخرفصورة من: Samunella/Pond5 Images/IMAGO
إعلان
وفقًا لموقع "أخبار علوم الأعصاب" (Neuroscience News)، اكتشف العلماء من خلال دراسة بيانات 15 ألف مريض زيادة في حالات الخرف بعد حوالي 5.6 سنوات من حدوث نزيف في الدماغ، حيث يُحتمل أن يكون النزيف قد ساهم في الخرف نتيجة لتراكم مادة بيتا أميلويد أو تلف الأوعية الدموية. بناءً على هذه النتائج، يوصي الباحثون بضرورة إجراء فحوصات عقلية منتظمة للمرضى الذين تعرضوا للنزيف.
النزيف الدماغي
زيادة خطر الخرف: ا لنزيف في الدماغ يضاعف خطر الإصابة بالخرف بعد عدة سنوات. الأسباب المحتملة: قد يؤدي النزيف إلى الخرف من خلال تراكم مادة بيتا أميلويد أو نتيجة لعوامل مشتركة مع أمراض عصبية. التداعيات السريرية: يجب متابعة المرضى الذين تعرضوا لنزيف دماغي للكشف المبكر عن تدهور الذاكرة، وقد يتطلب علاج الزهايمر إعادة تقييم لهذه الفئة.
تعرف على حقائق مهمة ومثيرة عن الدماغ
لاشك أن تركيبة الدماغ البشري معقدة جدا ومذهلة، ورغم أنه مسؤول عن جميع العمليات التي تتم في الجسم، إلا أن هناك حقائق مهمة عن الدماغ لا يعرفها الكثيرون. فيما جولة مصورة للتعرف على بعض هذه الحقائق "المذهلة".
صورة من: Fotolia/Andrea Danti
من بين الحقائق التي لا يعرفها الكثيرون هو أن الدماغ لا يشعر بالألم. فأنسجة الدماغ لا تحتوي على مستقبلات الألم المعروفة بـ "نوسيسيبتور". أم آلام الرأس فتعود لأسباب مختلفة، فالصداع الوعائي مثلا ينجم عن ارتفاع ضغط الدم مثلا. ويمكن للصداع أن ينجم عن التوتر الذي يؤدي إلى شدّ عضلات الوجه والرقبة. وهناك بعض أنواع الصداع ترجع لأسباب مرضية مثل التهاب الجيوب الأنفية أو الجلطة الدماغية.
صورة من: Colourbox/Kiyoshi Takahase Segundo
65 بالمئة من الدماغ، يتكون من الدهون الصحية مثل أوميغا -3؛ وهذه الدهون تساعد على زيادة التركيز. وبحسب موقع "غيزوندهايت هويته" فإن الدهون السيئة تؤثر سلبا على مهارات التفكير.
صورة من: Fotolia/James Steidl
يزن الدماغ نصف وزن الرأس. ويبلغ معدل وزن الدماغ لدى النساء حوالي 1245غرام بينما يصل إلى 1375 لدى الرجال. وللمقارنة يبلغ وزن دماغ الفيل حوالي 6 كيلوغرامات، بينما يزن دماغ القطة حوالي 30 غراما فقط.
صورة من: picture alliance/Rolf Kremming
يتكون الدماغ من مواد رمادية بنسبة 40 بالمئة وهي تغطي سطح الدماغ. هذه المواد مسؤولة عن معالجة المعلومات. أما الستين بالمئة المتبقية من الدماغ، فهي مغطاة بمواد بيضاء تشكل الجزء الداخلي من قشرة الدماغ، وهي مسؤولة عن نقل الإشارات إلى خلايا الدماغ.
صورة من: Fotolia/marksykes
يستهلك الدماغ 20 بالمئة من طاقة الجسم. ما يعني أنه يستهلك طاقة أكثر من أي عضو آخر في الجسم. ويتم استهلاك ثلثي هذه الطاقة عن طريق الخلايا العصبية، أما الثلث المتبقي، فيكون للحفاظ على الخلايا، حسبما ورد على موقع "فيتا غيت" السويسري والمعني بالشوؤن الصحية.
صورة من: Fotolia/fabioberti.it
وفقا لما ورد على موقع "فوكوس" الألماني يمكن للدماغ أن ينتج طاقة تكفي لتوهج مصباح كهربائي. أي من الممكن تشبيه الدماغ بمولد للطاقة "بطارية" تعمل بدون توقف. فعند الاستيقاظ ينتج الدماغ ما يعادل 23 واط. وهذه الكمية من الطاقة تكفي لتوهج مصباح كهربائي.
صورة من: Fotolia/DOC RABE Media
زيادة التلافيف في الدماغ مؤشر جيد والسبب هو أن زيادة التلافيف والطيات في الدماغ يزيد من سطح الخلايا العصبية. وزيادة هذه الخلايا مرتبطة بزيادة نسبة الذكاء. علما أن نسبة عدد التلافيف وطيات الدماغ هي صفة موروثة مثل حجم الجسم.
صورة من: jorgophotography - Fotolia.com
الروائح هي أكثر ما يمكن للدماغ أن يتذكره. فمستقبلات الرائحة هي من أكثر مستقبلات الحواس انتشارا في الجسم. وبحسب موقع "غيزوندهايت هويته"، أظهرت دراسة شارك فيها أشخاص متقدمون بالعمر قدمت لهم كلمات وصور وروائح في محاولة لتحريك الذكريات، أن تلك المرتبطة بالروائح تعود إلى السنوات الأولى من العمر، بينما اقتصرت الذكريات المرتبطة بالصور والكلمات على السنوات الأخيرة.
صورة من: Adimas/Fotolia.com
يرتبط الدماغ بالأمعاء ارتباطا وثيقا، فبحسب موقع "غيزوندهايت هويته" أظهرت دراسة في جامعة هارفارد أن صحة الأمعاء تؤثر بشكل مباشر على الدماغ. فالأشخاص الذين لديهم جراثيم معوية صحية أقل عرضة للقلق وإحساسهم بالتوتر أقل ويتمتعون بصحة نفسية أفضل.
صورة من: Fotolia/Andrea Danti
9 صورة1 | 9
قال الدكتور صمويل بروس الباحث الأول في الدراسة، إن النزيف الدماغي يزيد بشكل واضح من خطر الإصابة بالخرف، بغض النظر عن نوعه. وبناءً على ذلك، هذا يعني أن الأشخاص الذين تعرضوا لنزيف دماغي يجب أن يخضعوا لفحوصات منتظمة لفحص وظائفهم الإدراكية، إذ إن ذلك قد يساعد في اتخاذ قرارات بشأن رعايتهم المستقبلية.
من خلال استخدام بيانات التأمين من برنامج ميديكير بين عامي 2008 و2018، درس الدكتور بروس وزملاؤه حالة حوالي 15,000 شخص تعرضوا لأنواع مختلفة من النزيف الدماغي. على الرغم من أن النزيف قد يحدث بسببإصابات في الرأس، إلا أنهم ركزوا على الحالات التي تحدث بشكل عفوي.
وقد وجدوا أن هؤلاء المرضى كانوا أكثر عرضة للإصابة بالخرف بعد حوالي 5.6 سنوات من النزيف مقارنة بأكثر من مليوني شخص لم يتعرضوا لنزيف.
وفقًا لدراسة أجراها باحثو جامعة ويل كورنيل، شملت مجموعة كبيرة من كبار السن في الولايات المتحدة، تبين أن النزيف داخل الجمجمة يضاعف خطر الإصابة بالخرف. وقد لوحظ هذا الخطر بشكل مستمر عبر مختلف أنواع النزيف داخل الجمجمة.